近日,泰安市公共卫生医疗中心骨科先后为两名因车祸致伤的患者,通过非手术方式成功完成精准闭合复位治疗,以“无创、高效、经济”的诊疗方案赢得患者及家属一致好评。
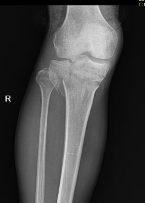
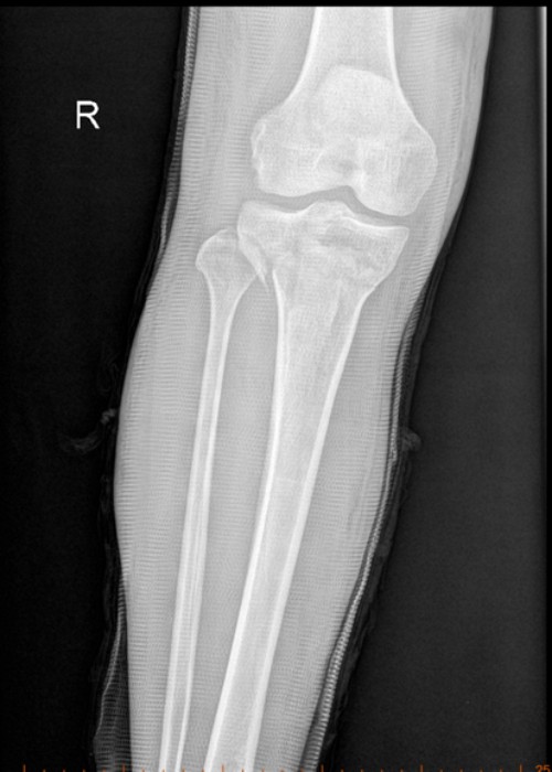
患者尚某因车祸致胫骨上段及胫骨平台骨折入院。此类骨折致残率极高,常规治疗多选择手术以降低致残风险,但尚某基础病情复杂,且家属明确拒绝手术。经骨科主任国华组织科室讨论,决定采用闭合手法复位结合石膏外固定方案,随后,国华与李泰锋医师为其实施精准手法复位,复查显示骨折端对位对线良好。目前患者恢复良好,家属对治疗效果表示高度认可。

复位前

复位后
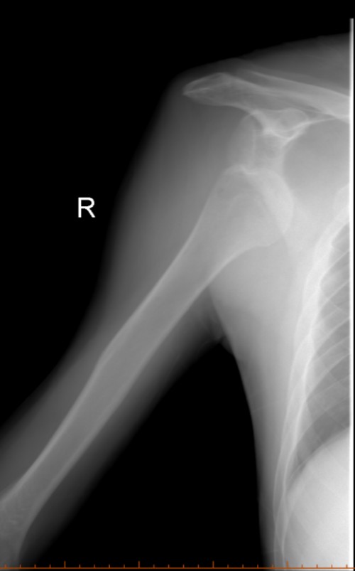
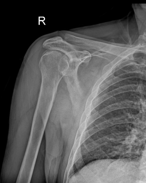
另一名为71岁患者张某,因车祸致右侧肩关节疼痛、活动受限,由120紧急送医。经检查确诊为右肩关节前脱位,排除骨折后,国华与李泰锋立即为其进行手法复位。复位后患者疼痛显著缓解,肩关节活动功能即刻恢复正常。家属激动表示:“老人年纪大了,我们原本非常担心需要开刀手术,没想到手法复位就解决了问题!”

复位前

复位后
两名患者的成功救治,既体现了泰安市公共卫生医疗中心骨科在创伤急救领域的专业实力,也印证了“以患者为中心”诊疗理念的临床价值。未来,骨科团队将持续精进技术,优化服务流程,为更多患者提供安全、有效、经济的优质医疗服务。
撰稿:骨科 李泰锋
审核:国华 张平 李巍伟
责编:许元陆



