近日,泰安市公共卫生医疗中心骨科常规实施一例右桡骨远端骨折外固定架固定术,生动诠释了骨科团队“以患者为中心”的核心理念。
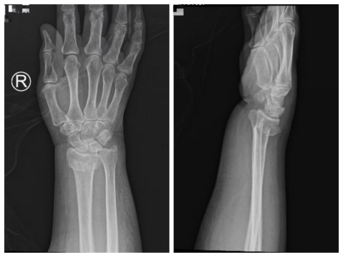
患者米某因外伤导致右桡骨远端骨折。面对患者病情,骨科主任国华带领医疗团队展开详尽的病例讨论:传统治疗中,手法复位后石膏固定虽操作便捷,但该部位骨折稳定性不足,后期易发生移位;而切开复位内固定(植入钢板螺钉)虽固定牢固,却存在手术创伤大、遗留较长疤痕等弊端,而且患者明确表示不接受切开复位方案。经综合评估,医疗团队提出外固定支架固定方案——既能确保骨折断端稳定性,又能避免切开手术带来的较大创伤,同时满足患者对美观及功能恢复的需求,有效降低骨折术后并发症风险。

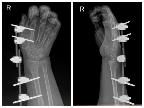
术中,手术团队在患者皮肤上做几个微小切口,精准置入固定针,通过支架的牵引与支撑构建稳定的愈合环境。手术顺利完成,术后1个月患者返院复查时,骨折端已形成明显骨痂。拆除外固定支架后,患者通过科学康复锻炼恢复良好。

术前

术后
“桡骨骨折并不可怕,关键在于选择最适合的治疗方案。”国华强调,团队始终秉持“因病施治、因人施治”原则,为每位患者量身定制最优治疗方案,既保障治疗效果,又尊重患者诉求。
泰安市公共卫生医疗中心骨科在微创治疗方面经验丰富,始终致力于用最先进的技术、最小的创伤,为患者提供最优质的诊疗服务。
撰稿:骨科 李泰锋
审核:国华 张平 李巍伟
责编:许元陆



